Teeth whitening

General, Cosmetic, and Restorative Care

Teeth Whitening at Dental on Rhodes

Brighten Your Smile with Professional Teeth Whitening

At Dental on Rhodes, we are committed to helping you achieve a radiant, confident smile. Our professional teeth whitening services are designed to remove stains and discoloration, giving you a brighter and more attractive smile. Whether you have an upcoming special occasion or simply want to enhance your appearance, our teeth whitening treatments can deliver remarkable results.

What is Teeth Whitening?

Teeth whitening is a cosmetic dental procedure that uses safe bleaching agents to lighten the color of your teeth. Over time, teeth can become stained or discolored due to various factors, such as drinking coffee, tea, or red wine, smoking, or aging. Professional teeth whitening treatments can effectively reduce or eliminate these stains, restoring the natural brightness of your smile.

Benefits of Professional Teeth Whitening:

  • Effective Results: Achieve a significantly brighter smile with noticeable results after just one treatment.

  • Safe and Controlled: Professional supervision ensures that the whitening process is safe and tailored to your specific needs.

  • Quick Treatment: Our in-office whitening procedures are quick, often completed within an hour.

  • Long-Lasting: With proper care, the results of professional teeth whitening can last for several months.

Our Teeth Whitening Process:

  1. Consultation: During your initial consultation, our dental team will assess your oral health and determine if teeth whitening is suitable for you. We will also discuss your desired results and any concerns you may have.

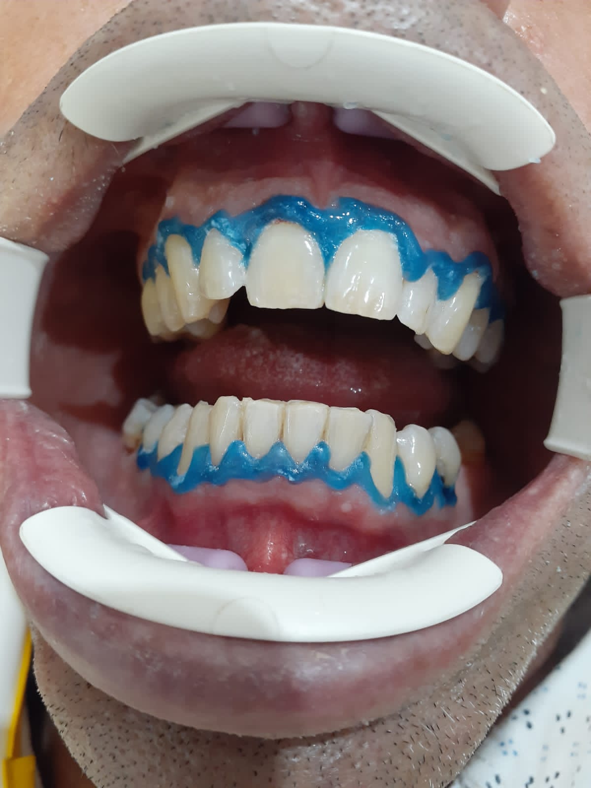
  2. Preparation: Before the whitening treatment, your teeth will be cleaned to remove any plaque or debris, ensuring the best possible results.

  3. Whitening Treatment: A professional-grade whitening gel will be applied to your teeth. Depending on the method chosen, a special light or laser may be used to enhance the whitening effect.

  4. Post-Treatment Care: After the treatment, we will provide you with instructions on how to maintain your bright smile and prevent future staining.

Why Choose Dental on Rhodes for Teeth Whitening?

  • Experienced Team: Our skilled dental professionals have extensive experience in providing safe and effective teeth whitening treatments.

  • Advanced Technology: We use the latest whitening techniques and high-quality products to ensure optimal results.

  • Personalized Care: We tailor our treatments to meet your individual needs and desired outcomes, ensuring your comfort throughout the process.

  • Comprehensive Services: In addition to teeth whitening, we offer a full range of dental services to maintain and enhance your oral health.