FASTBRACES®

Revolutionize Your Smile with FASTBRACES®

Transform your smile TODAY

Experience the cutting-edge technology of FASTBRACES® at Dental on Rhodes, where your dream smile is just a step away.

Discover the Power of FASTBRACES®

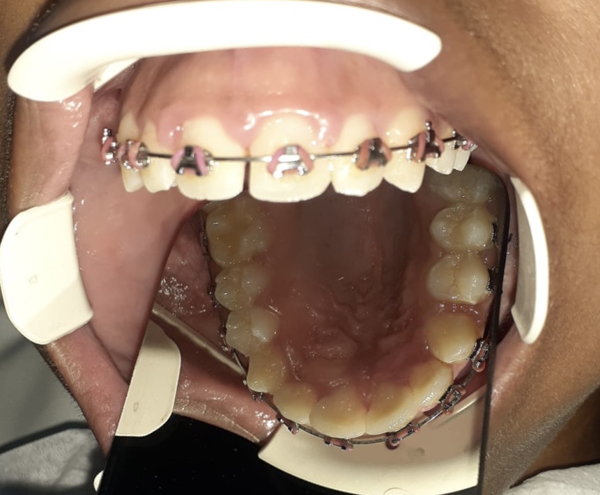
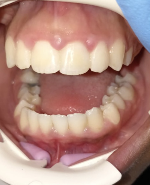
FASTBRACES® is an innovative orthodontic solution designed to straighten teeth faster and with less discomfort than traditional braces. Unlike conventional methods that can take years, FASTBRACES® utilizes advanced technology to align teeth in a fraction of the time. This system works by simultaneously moving the roots and crowns of teeth, offering a comprehensive approach to orthodontics. Patients benefit from shorter treatment times, reduced sensitivity, and a more comfortable experience overall. Choose FASTBRACES® for a quicker path to a beautiful, confident smile.

Why Choose FASTBRACES®?

Rapid Results

FASTBRACES® significantly reduces treatment time, allowing you to achieve your desired smile faster than ever before.

Comfortable Experience

Designed with patient comfort in mind, FASTBRACES® minimizes discomfort and sensitivity during treatment.

Proven Technology

Backed by decades of research, FASTBRACES® offers a reliable and effective solution for orthodontic needs.

The FASTBRACES® Process

Step 1

Initial Consultation

Meet with our orthodontist to discuss your dental goals and assess your suitability for FASTBRACES®.

Step 2

Customized Treatment Plan

Receive a personalized treatment plan designed to align your teeth efficiently and comfortably.

Step 3

Begin Treatment

Start wearing your FASTBRACES® and experience the gradual transformation of your smile.

Affordable FASTBRACES® Plans to be discussed at consultation.

Transform Your Smile Today with FASTBRACES®

Discover the revolutionary FASTBRACES® technology and achieve the smile you’ve always dreamed of. Schedule a consultation with our experts at Dental on Rhodes and take the first step towards a confident, beautiful smile. Your smile is everything, and we’re here to make it shine!