Restorations/Fillings
General, Cosmetic, and Restorative Care

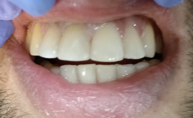
Dental Restorations and Fillings at Dental on Rhodes
Restore Your Smile with Expert Dental Fillings
At Dental on Rhodes, we are dedicated to providing high-quality dental restorations to repair and protect your teeth. Dental fillings are a common and effective solution for restoring teeth damaged by decay or trauma, ensuring both functionality and aesthetics.
What are Dental Fillings?
Dental fillings are materials used to fill cavities and repair minor tooth fractures or decay. This treatment restores the tooth’s structure, function, and appearance, preventing further decay and damage. We offer a variety of filling materials, including composite resin, amalgam, gold, and porcelain, to meet your specific needs.
Benefits of Dental Fillings:
-
Cavity Prevention: Stops the progression of tooth decay by sealing off the affected area.
-
Restored Function: Allows you to chew and bite properly without discomfort.
-
Aesthetic Appeal: Composite and porcelain fillings blend seamlessly with your natural teeth, enhancing your smile.
-
Durability: High-quality materials ensure long-lasting results, maintaining your oral health.
Our Dental Filling Process:
-
Diagnosis and Consultation: Our dental team will perform a thorough examination and take X-rays to identify any cavities or damage that require fillings.
-
Anesthesia: Local anesthesia will be administered to numb the area and ensure your comfort during the procedure.
-
Removal of Decay: The decayed or damaged portion of the tooth will be carefully removed, and the area will be cleaned.
-
Filling Placement: The selected filling material will be placed in the cavity, shaped to fit your tooth perfectly, and hardened using a special light if necessary.
-
Final Adjustments: The filling will be polished and adjusted to ensure a comfortable bite and natural appearance.
Why Choose Dental on Rhodes for Dental Restorations?
-
Experienced Team: Our skilled dentists have extensive experience in providing effective and gentle dental restorations.
-
State-of-the-Art Technology: We use the latest dental technology and high-quality materials to ensure optimal results.
-
Personalized Care: We tailor our treatments to meet your specific needs, ensuring your comfort and satisfaction throughout the process.
-
Comprehensive Services: From routine fillings to complex restorations, we offer a full range of dental services to maintain and enhance your oral health.